PRACTICE PRACTICALS for CELL BIOLOGY
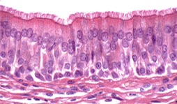
The following are practice practical exams. Answer the question about the photo above each question. The answers are at the end of each page.
- Practice exam over Mitosis and Meiosis
- Practice exam over Epithelia
- Practice exam over connective tissue
- Practice exam over muscle
For more information, contact:
Gwen Childs, Ph.D.,FAAA
Professor and Chair
Department of Neurobiology and Developmental Sciences
University of Arkansas for Medical Sciences
Little Rock, AR 72205
For questions, contact this email address:
