Answer the question about the photograph above the question. The answers are at the end of this page.

1. Identify the type of tissue.
A) Dense regular connective tissue
B) Smooth muscle
C) Cardiac muscle
D) Skeletal muscle
2. In question 1, above, what was the most distinctive identifying feature?
A) Striations
B) Branched fibers
C) Peripheral nuclei
D) A and C
E) A, B, and C

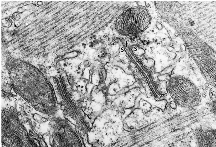
3. Identify the structure labeled s in the above photomicrograph.
A) Desmosome
B) Intercalated disk
C) Triad
D) Mitochondrial cristae
E) sarcomere

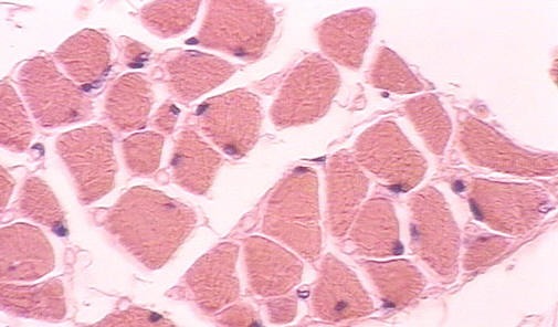
4. Identify this tissue:
A) Dense regular connective tissue
B) Smooth muscle
C) Cardiac muscle
D) Skeletal muscle
5. In question 4, above, what was the most distinctive identifying feature?
A) Striations
B) Branched fibers
C) Central nuclei
D) A and C
E) A, B, and C

6. This specialized junction separates cells in:
A) Cardiac muscle
B) Skeletal muscle
C) Smooth muscle
D) Tendons

7. Identify this tissue.
A) Dense regular connective tissue
B) Smooth muscle
C) Cardiac muscle
D) Skeletal muscle
E) Dense irregular connective tissue

8. Identify this tissue.
A) Dense regular connective tissue
B) Smooth muscle
C) Cardiac muscle
D) Skeletal muscle
E) Dense irregular connective tissue

9. Identify this tissue:
A) Dense regular connective tissue
B) Smooth muscle
C) Cardiac muscle
D) Skeletal muscle
E) Dense irregular connective tissue
10. In question 9, above, what was the most distinctive identifying feature?
A) Striations
B) Branched fibers
C) Peripheral nuclei
D) A and C
E) A, B, and C

11. Identify the name of the connective tissue around each fiber:
A) epimysium
B) endomysium
C) perimysium
D) meromysium
E) sarcomysium

12. Identify the structures noted by the arrows:
A) striations
B) sarcomeres
C) Intercalated discs
D) Sarcoplasmic reticulum
E) endomysium
For more information, contact:
Gwen Childs, Ph.D.,FAAA
Professor and Chair
Department of Neurobiology and Developmental Sciences
University of Arkansas for Medical Sciences
Little Rock, AR 72205
For questions, contact this email address:
Answers: 1D, 2D, 3C, 4D, 5E, 6A, 7B, 8B, 9D, 10C, 11B, 12C
